
Invisalign®
Your virtually invisible way to a straight smile
Transform your smile with discreet, convenient and effective Invisalign® at Hurst Dental & Implant Clinic. With treatment from just £167 per month, you could be showing off your new smile sooner than you think!
Tell me more

What is Invisalign?®
Invisalign® is one of the most popular straightening systems worldwide for good reason! It is incredibly discreet, easy to use and achieves outstanding results for a wide range of mild to moderate orthodontic issues. The innovative clear aligners are accurately custom made for you, ensuring a comfortable treatment experience with no metal included whatsoever.
Invisalign® blends seamlessly into your lifestyle, and doesn’t force you to change anything about your diet, as the removable aligners can be taken out for eating, drinking and brushing your teeth. All you need to do is make sure your aligners are worn for 20-22 hours per day, to keep your treatment on track and allow the gradual and gentle forces to work on moving the positions of your teeth.
Learn moreThe benefits of Invisalign®

Comfortable
Invisalign® is designed with comfort in mind, from the fast and accurate digital impressions to the snug and secure clear aligners.

Clear
Virtually invisible when worn, Invisalign’s aligners are beautifully clear, incredibly discreet and fit perfectly into your daily life.

Convenient
The removable clear aligners add convenience to your treatment, enabling you to eat and drink whatever you choose.

Cutting-edge
Invisalign uses the latest digital technology in every stage, elevating your experience and ensuring accurate results.

0% finance options available
We know that choosing to straighten your smile with Invisalign® can be expensive, but we have ways to help. Our flexible finance options, arranged via Tabeo Finance, enable you to spread the cost of your treatment across more manageable monthly payments, giving you more ways to achieve your dream smile. Please talk to us about your options today.

What does Invisalign treatment involve?
At an initial appointment, we examine your teeth and gums, making sure you are suitable for Invisalign treatment and talking through how it will work. We take accurate digital 3D scans of your mouth and teeth so your clear aligners can be custom made to your exact specifications. Using our digital software, we are even able to demonstrate how Invisalign will straighten your smile at the chairside, showing you a preview of your new smile!
During your fitting appointment, we make sure your aligners are perfectly snug and comfortable and you are happy with putting them in and out of your mouth. We explain when to move onto the next set of aligners, enabling your teeth to move little by little until your dream smile has been achieved. We also give advice on how to keep your mouth as healthy as possible during your treatment.
We keep in touch with you during your treatment journey, and make sure everything is staying on track at your regular appointments in the practice. We check the movement of your teeth is on track and can make small adjustments if necessary to ensure an incredible result.
At the end of your treatment, we make sure you are happy with your smile and are looking forward to showing it off! We give you a final retainer to keep your teeth in their new positions and maintain your results for the long term.
Get started today
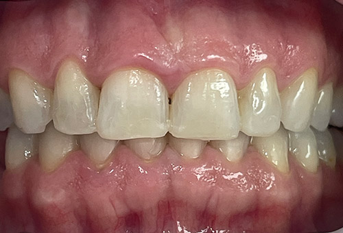
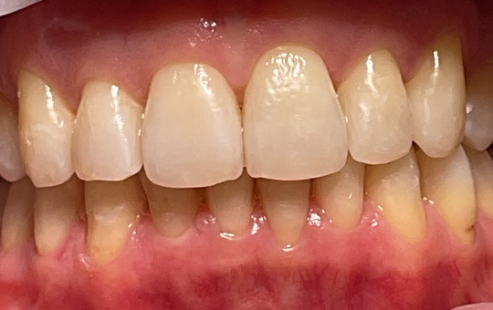
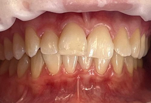
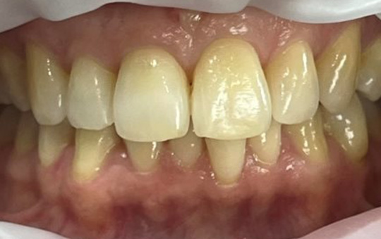
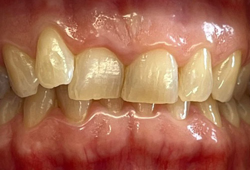
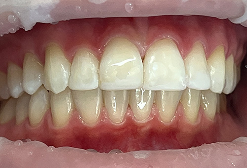
Stunningly straight smiles
We’re so proud of the results we have achieved for our delighted patients using Invisalign®. If you’d like to transform the appearance of your smile, please get in touch and we will be happy to help.
Try Invisalign® SmileView
Want to know how you’d look like with straight teeth?
Frequently asked questions
The length of the treatment depends on your individual case, but most people find their treatment is completed in 9-18 months. If your teeth are expected to cover a lot of movement, more aligners will be needed and so lengthen your treatment. During your first appointment, we will give you an estimate of your treatment length. Every mouth is different, and some patients tend to find that their teeth move more slowly.
Clear aligners are very comfortable, making it easy to wear them for 22 hours per day. Often, you may forget they are in your mouth! The aligners fit very snugly and securely over your teeth, and no metal is included in their creation. Without metal brackets or wires, there is nothing that can irritate your mouth or cause pain.
Yes, one of the main benefits of Invisalign aligners is that they can be removed for eating and drinking anything other than plain water. The removable aligners also allow you to keep up with an excellent oral hygiene routine, making sure your dental health is not affected by your orthodontic treatment.
You need to wear your aligners for 20-22 hours per day, to keep your treatment on track and ensure your progress is not affected. When your aligners are out of your mouth, the gentle and gradual forces cannot work on moving the positions of your teeth, so it is important that they are put back in your mouth as soon as possible.
At first, you may find you speak with a slight lisp as your mouth gets used to the feeling of the clear aligners. This may last a few days, but your speech should return to normal before long, and you will be talking clearly and confidently again.
Teeth have a habit of moving out of position and it’s necessary to have a retainer to prevent losing all that hard work. Retainers can be either fixed or removable. At the end of your treatment, we will take impressions of your newly straightened teeth, which are used to create your retainer. You will need to wear your retainer on a part time basis (usually overnight) for the long term to maintain your results.


